En un informe de caso publicado en la revista académica BMJ Case Studies el 1 de diciembre, se revela un incidente único en el que un hombre se perforó la tráquea al intentar contener un estornudo. Este hecho, hasta donde se tiene constancia, representa el primer caso de este tipo en el mundo, según detalla la investigación.
El incidente ocurrió mientras el hombre conducía su automóvil y experimentaba una reacción alérgica que lo llevó a querer estornudar. En lugar de hacerlo, optó por sofocar la sensación pellizcándose la nariz y cerrando la boca.
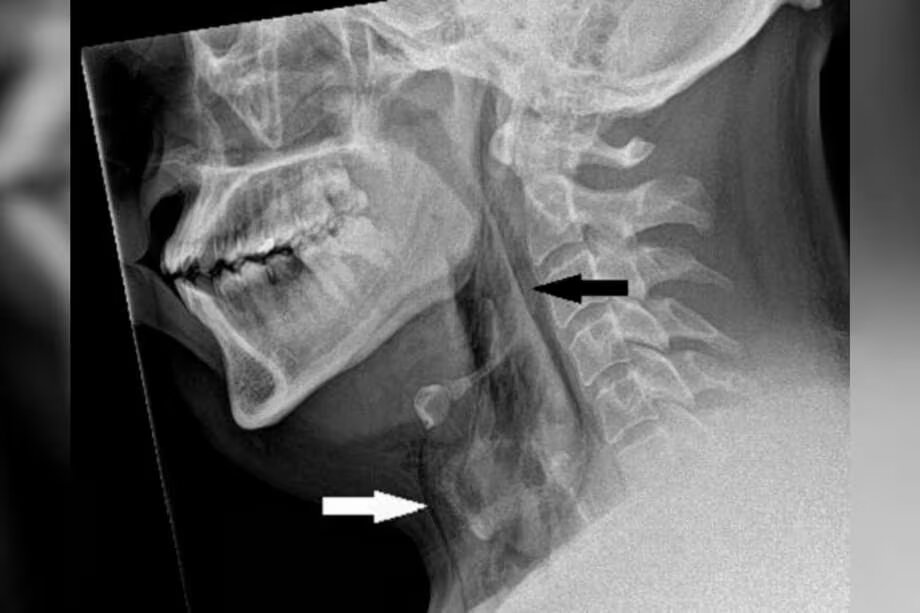
La investigación indica que cuando la nariz y la boca están cerradas durante un estornudo, la presión generada puede ser hasta 20 veces mayor que la acumulada durante un estornudo convencional. Como resultado de esta presión inusual, el hombre desarrolló un agujero de 2 por 2 milímetros en la tráquea. Al llegar a urgencias, presentaba fuertes dolores, hinchazón y dificultad para moverse. Los médicos, al examinarlo, notaron un leve crujido, aunque el paciente no experimentaba problemas al hablar, respirar o tragar.
Una radiografía posterior confirmó un enfisema quirúrgico, con el aire atrapado entre las capas de tejido profundo y acumulado en el espacio del pecho entre los pulmones. Aunque los médicos determinaron que no se necesitaba cirugía, el hombre permaneció en el hospital durante dos días para garantizar la estabilidad de sus signos vitales. Fue dado de alta con analgésicos y la recomendación de evitar actividades físicas intensas.
Una tomografía realizada cinco semanas después reveló que la herida se había curado por completo. A pesar de las lesiones leves sufridas por el hombre, los médicos advierten que este caso debería servir como una advertencia para otros, destacando que reprimir estornudos al pellizcar la nariz con la boca cerrada puede resultar en perforaciones traqueales.
Cabe señalar que los desgarros espontáneos de la tráquea son raros pero potencialmente mortales. Generalmente causados por traumatismos físicos o lesiones relacionadas con procedimientos médicos, como cirugías o la inserción de tubos en la tráquea, estos casos suelen requerir cirugía para reparar el daño, según los autores del informe del caso.

